找回密码
 注册

QQ登录

只需一步,快速开始

微信登录

微信扫码,快速开始

查看: 2037|回复: 1

[焦点民生] 发热仅1天,肺全白了!这种病极度危险,千万别当普通感冒

[复制链接]
发表于 2025-11-14 09:49 | 显示全部楼层 |阅读模式 IP:广西河池
孩子感冒咳嗽看似常见
可12岁女孩笑笑(化名)的经历
却让人感到后怕——
仅发热1天,左肺就变成了 “白肺”
呼吸急促到无法平躺
血氧饱和度勉强维持在90%左右
情况十分危急!

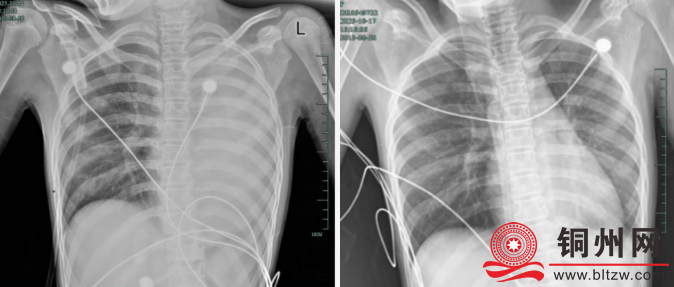
2d93350afaca94b1f0f0ce46fd8b61cb.png
治疗前后影像对比,左肺从“白肺”到正常状态。

1

什么病?如此来势汹汹?危险藏在黏液里

据介绍,笑笑一开始只是轻微咳嗽,发热到38℃,检查提示肺炎、肺不张,转诊到浙大四院儿科时,病情已经急剧恶化,出现呼吸急促、胸闷胸痛,体温38.5℃,只能靠5L/min的面罩吸氧维持血氧,胸片显示左肺已完全呈 “白肺” 改变,肺部炎症进展迅猛。

儿科虞琳副主任医师判断,笑笑极有可能是患上了“塑型性支气管炎”。

这是一种肺部感染的严重肺内并发症,由不同原因引发的支气管内生性异物阻塞疾病,会导致支气管阻塞、通气和气体交换功能障碍,主要症状为呼吸困难、喘息、胸痛及发热,严重时会引发危及生命的呼吸循环衰竭。

261929d51463a44aa6d9748d86c9e8eb.jpg

医生介绍,塑型性支气管炎是儿童期凶险的呼吸道急症,常见于2—12岁儿童,多由流感病毒、肺炎支原体、腺病毒等病毒或细菌感染引发。起病隐匿、进展快,容易误诊漏诊,若不及时治疗,可能遗留闭塞性细支气管炎、支气管扩张症等后遗症,严重时直接危及生命。
“这种病的凶险之处在于,气道会被大量胶冻状的黏液栓和支气管塑型堵塞,就像呼吸通道被‘水泥’ 封住,氧气进不去、二氧化碳出不来,随时可能窒息。”

接下来的支气管镜手术也印证了这一点。孩子的气道黏膜充血水肿,大量黄白色黏痰不断涌出,左主支气管及各肺段开口已被黏液栓完全堵住。

8334e66eed526a258e2e3e9440ba54c6.jpg
从左至右分别为三次支气管镜取出的塑型,第3次塑型明显减少,灌洗液也比之前清亮。

由于治疗及时精准,目前笑笑已顺利出院,没有留下严重的并发症。

后续检查发现,引发她此次感染的是毒力极强的铜绿假单胞菌,多发生在免疫功能低下人群。

2

医生提醒:孩子出现这些症状
千万别拖延,尽快就诊!

医生提醒,孩子的呼吸道娇嫩,看似普通的感冒也可能暗藏凶险。当孩子出现以下症状时,就要警惕“塑型性支气管炎”,应立即就医,切勿当作普通感冒拖延。

  • 孩子感冒咳嗽后出现持续发热、喘息加重、呼吸急促、胸闷胸痛等症状;

  • 胸片或CT提示“肺不张” “肺实变”;

  • 病情症状在短时间内快速恶化。


冬春季是急性呼吸道传染病高发季节,公众应养成戴口罩、勤洗手、常通风等良好习惯。

此外,接种疫苗是预防流感等传染病最有效、最经济的手段,未接种流感疫苗的适龄人群应尽早接种,以降低感染和发生重症的风险。

目前全国整体已进入流感流行季
若孩子感冒咳嗽后
出现呼吸急促、胸闷胸痛等症状
应及时就医
切勿当作普通感冒拖延






来源 | 央视网综合人民日报、国家应急广播、浙大四院、海宁传媒
已绑定手机
发表于 2025-11-14 11:38 | 显示全部楼层 IP:美国
发热一天竟成白肺!感冒表象藏凶险,警惕呼吸急促血氧低。速就医,莫把重症当小病!
回复 支持 反对

使用道具 举报

您需要登录后才可以回帖 登录 | 注册

本版积分规则

快速回复 返回顶部 返回列表